
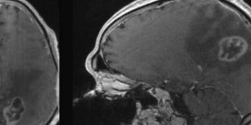
Ученые из Университета Северной Каролины доказали возможность исцеления от онкологических заболеваний при помощи диеты, без применения медикаментов или хирургического вмешательства. Они научились провоцировать ферроптоз — механизм гибели клеток, который связан с содержанием в них железа. Он присущ в первую очередь именно раковым клеткам, таким как глиобластома, смертность от которой достигает 100%, при этом лекарств от нее не существует.
Ученые выяснили, что активация ферроптоза происходит при дефиците в рационе живого существа определенных аминокислот – цистеина и метионина. Они составили для лабораторных грызунов такую диету, которая исключает наличие этих веществ. В результате, у мышей наблюдалась ускоренная гибель раковых клеток. Подопытные не выжили, но они прожили гораздо дольше, чем особи с аналогичным заболеванием, которых держали на обычной диете.
Что еще важнее, изменение рациона меняет восприимчивость клеток к химиотерапевтическим препаратам. В упрощенной форме, благодаря диете требуется меньше лекарств для исцеления от данного недуга. Ученые уверены, что комбинация диеты и лечения позволит уничтожать раковые клетки в щадящем для пациентов режиме. Но это вопрос будущего, эксперименты на людях только начинаются.
































